
Før
Klikk for å forstørre bilde
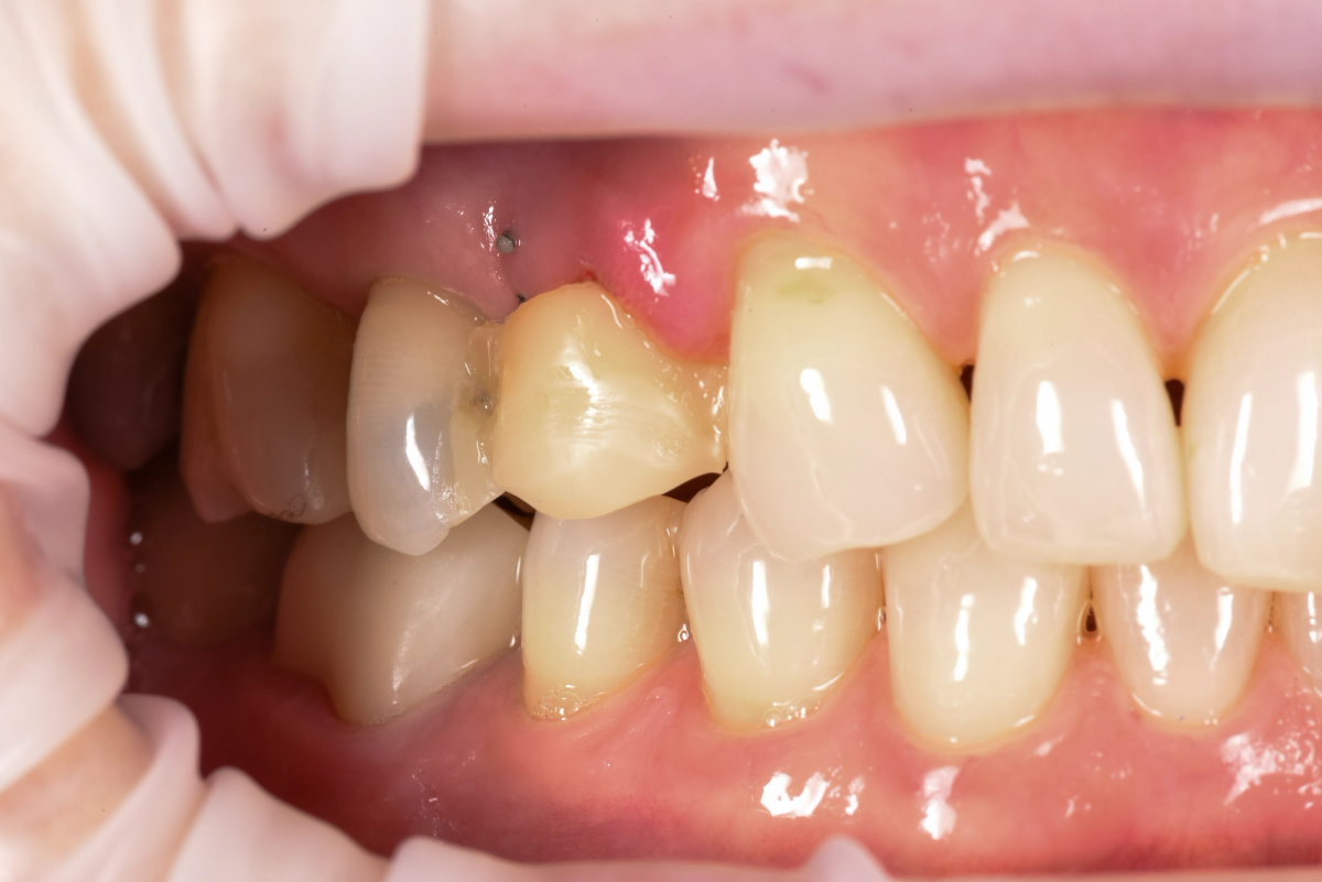
Før behandling
1 av 2
Bente
Krone
"Pasienten fikk utført kronebehandling for å gjenopprette tannens form, funksjon og estetikk."
Behandlingsforløp
Pasienten hadde en skadet tann med synlig misfarging og dårlig tilpasset tidligere restaurering. Den gamle kronen ble fjernet og tannen ble preparert for ny krone.
Sluttresultatet viser betydelig forbedring med naturlig form og farge som harmonerer med de omkringliggende tennene.
Teamet
- Adrian Matic
- Eva Matic
Behandlinger
Krone