
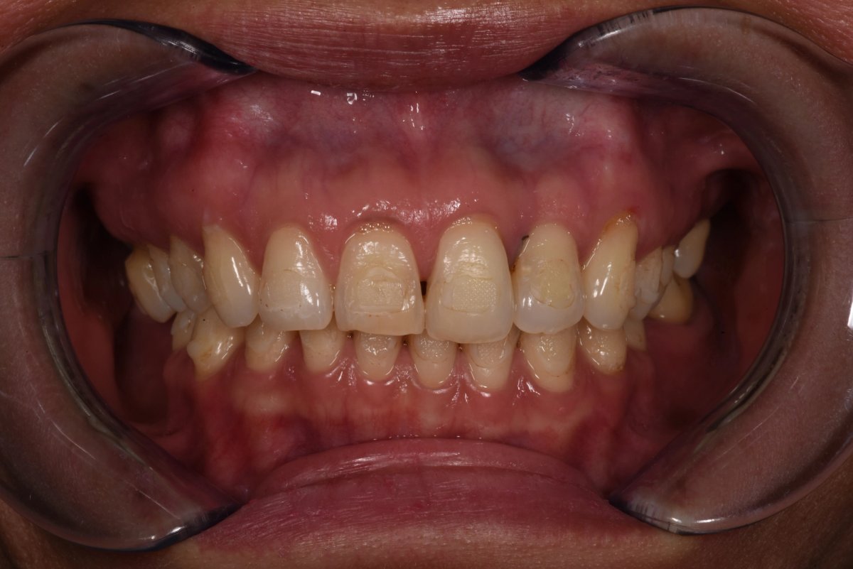
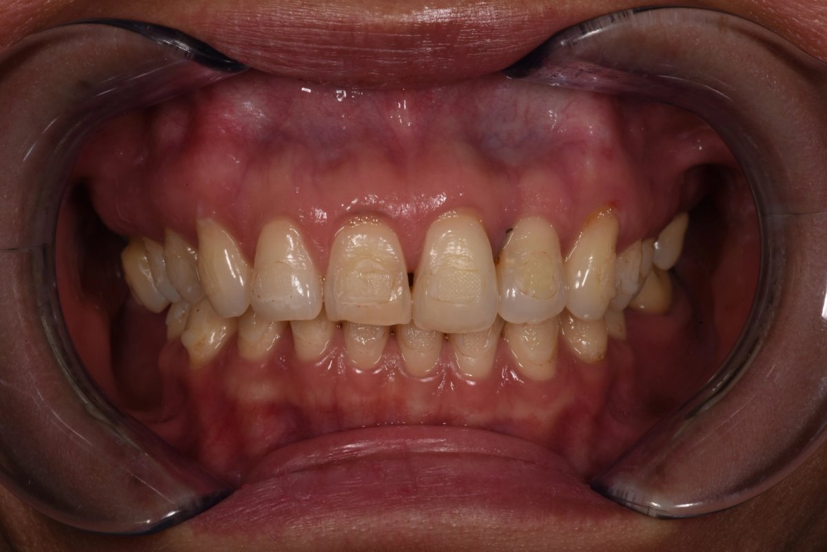
Før
Klikk for å forstørre bilde
Før
1 av 2
Anonym
Fasetter
"Se hvordan fasetter forvandlet pasientens smil."
Behandlingsforløp
Pasienten ønsket et penere smil.
Etter konsultasjon vurderte vi at fasetter på øvre tannrad var den beste løsningen, både estetisk og fint innenfor pasientens budsjett.
Teamet
- Adrian Matic
- Eva Matic
- Filip Potinga
Behandlinger
Skallfasetter